Same day implant
- - Currently using dentures
- - Have lost many teeth
- - Cannot have a period without tooth
- - Have given up implant treatment because of low bone mass
Does any of the above apply to you? Same day implant is designed for people with such concerns.
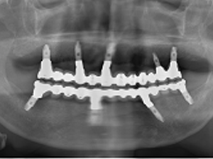
Same day implant is our implant treatment program for people who have been unable to eat with full dentures or who have given up on implants because they do not have enough bones.
The strongest advantage of this method is that there are less physical burden since the surgery will finish in a shorter period of time than a conventional operation. This is because the minimum number of implants to be inserted is 4 for patients who do not have any teeth, which is very small.
Since placing implants and provisional teeth are done on the same day, patients can eat food on the day of the surgery with teeth.
Normal implant surgery requires patients to wait several months until getting the temporary teeth placed, however, with the same day implant program patients do not need to wait at all.
Intravenous sedation
At our clinic, we offer intravenous sedation. This helps patients to feel less anxious, fearful, or nervous through the dental treatment, and make the whole experience more comfortable. Because the treatment ends while patients are asleep, the pain during the surgery is reduced significantly.
This treatment is recommended for those who have a fear of dental treatment and those with severe vomiting reflexes.
Nobel Biocare
Implant development competition is taking place around the world. Some implant manufacturers have been developing and researching for decades, while others are new to implant research.
Among them, Nobel Biocare implants are highly evaluated worldwide.
The mainly used implants at our clinic are by Novel Biocare, which is an implant manufacturer that has profound history in this field and has a solid long-term support system.
It may seem that there are not much difference in implants within few years after the surgery, if it is taken cared carefully.
However, after 10 years, the difference between implants made by a cheap manufacturer and worldly credited enterprise becomes apparent. The latter is less prone to alveolar pyorrhea, and because of their high strength, they are hard to break even with severe force such as bruxism.
Because we would like our patients to enjoy their healthy teeth and maintain them as long as possible, we made the choice to use high quality products by respectable source.
Treatment with the latest equipment
In order to respond to patients with difficult cases, our hospital has introduced the latest equipment. One of them is piezosurgery, which is a machine that cuts bones and teeth with ultrasonic vibrations and can cut only hard objects without damaging skin or meat. Pain and swelling can be minimized by performing the procedure as small and quick as possible.
Skilled doctor operating
Only the experienced physicians with the industry’s top case count and annual number of surgeries will perform on patients. Our physicians are certified by the International Society of Oral Implantology (ICOI) and have been improving their skills diligently even after they have acquired their certifications.
Minimize body strain
In a calm private counseling room, we will carefully consult patients’ worries and propose a treatment that less physical burden is considered.





